●切片に対する免疫染色の結果 6班 〜 9班
各写真の左の番号がペアの番号です。
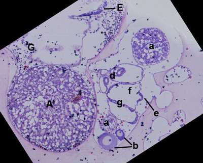
写真は左がギムザ染色した切片の写真,右が免疫染色で,Vasa タンパク質を検出した切片の写真です。
写真に付けた記号が表している組織や器官などの名前を説明します。
まず,切片には,無性生殖によって形成中の新個体である「芽体(f)」 と 「成体(記号なし)」が含まれています。
・a: 芽体の精巣(未成熟な精巣) A: 成体の精巣(成熟した精巣)
・b: 卵母細胞 B: 成熟した卵
・c: 卵原細胞(細胞のかたまりに見える)
・d: 芽体の消化管 (胃や腸などの区別があるが,ここではまとめて消化管とする)
・e: 芽体の内柱(尾索類 頭索類 円口類に特有の器官) E: 成体の内柱
・g: 芽体の鰓かご G: 成体の鰓かご
・切片には,間充織細胞(血球)が多数含まれています。点々や粒粒に見えています。間充織細胞には何種類かが知られていますが,
ここでは詳しく説明しません
6

7

8

9
高解像度版(レポート作成用)
| ギムザ染色 g | 免疫染色 v | |
| 6 班 | 6g | 6v |
| 7 班 | 7g | 7v |
| 8 班 | 8g | 8v |
| 9 班 | 9g | 9v |